
・人生初
セルフホワイトニングってどんな感じ?
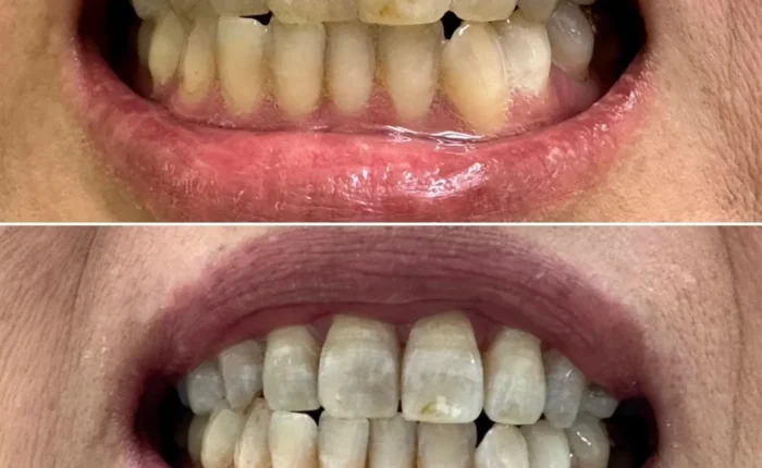
人生で初めてホワイトニングをした40代のお客様です😌💕
とっても楽しみにご来店していただきました。
表面の汚れがかなり除去できたと思われます✨✨✨。
2回目のご予約もいただきました。
ありがとうございます🎶
snowdropのセルフホワイトニングの流れとしては下記のようになります
1回では、まだまだ汚れは付きやすいとも思われますが…次回ご来店時の変化をみて今後のホワイトニング周期をご相談させていただいております。
💐💐💐💐💐💐💐💐💐💐💐💐💐💐
初回限定価格あります。
5月・6月は一周年キャンペーン期間
2回目以降のお客様❗
何回でも初回価格でセルフホワイトニングできますよ🤗🎶
💐💐💐💐💐💐💐💐💐💐💐💐💐💐
#セルフホワイトニング
#歯科技工所
#白い歯
#歯のメンテナンス
#初回
#周年記念
#美歯口